Sommario
Le protesi dentali rappresentano una delle soluzioni più efficaci per recuperare la funzionalità e l’estetica del cavo orale dopo la perdita di uno o più denti. Che si tratti di un impianto, di una protesi mobile o fissa, queste strutture sono fondamentali per migliorare la qualità della vita dei pazienti che affrontano la perdita di denti naturali.
Cos’è una Protesi Dentale?
Una protesi dentale è un dispositivo creato per sostituire denti mancanti o danneggiati. Queste protesi possono essere realizzate in diversi materiali, come la ceramica, la resina, o metalli biocompatibili, a seconda delle esigenze estetiche e funzionali del paziente. L’obiettivo principale delle protesi è quello di ripristinare la funzionalità della masticazione, della fonazione (pronuncia delle parole) e dell’estetica del sorriso, ma anche di prevenire problemi secondari legati alla perdita dei denti, come il danneggiamento delle strutture circostanti o il deterioramento dell’osso mascellare.
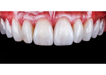
Protesi Dentale Fissa

La protesi dentale fissa viene ancorata ai denti naturali residui o agli impianti dentali. È una soluzione stabile che offre un comfort maggiore rispetto alle protesi mobili, poiché non deve essere rimossa durante la notte o per la pulizia. I ponti dentali, ad esempio, sono una forma di protesi fissa che collega due denti naturali per sostituire quelli mancanti. In alternativa, le corone sono utilizzate per coprire denti danneggiati o deboli, ripristinando la loro forma e funzione.
Protesi Mobile Scheletrata

La protesi mobile scheletrata o scheletrato può essere rimossa facilmente per la pulizia e durante la notte. È particolarmente indicata per chi ha perso molti denti di una o entrambe le arcate. Queste protesa si ancora ai denti rimanenti tramite ganci in metallo o estetici in resina. Nonostante siano meno stabili rispetto alle protesi fisse, le protesi scheletrate rappresentano comunque una soluzione accessibile ed efficace per molte persone.
Protesi Su Impianti Dentali


Gli impianti dentali sono radici artificiali inserite nell’osso mascellare, sulle quali viene poi posizionata una protesi dentale fissa. Questa soluzione offre grande stabilità e funzionalità, ed è spesso considerata la più vicina alla “naturalezza” dei denti propri. Gli impianti dentali sono indicati per i pazienti che possiedono una buona salute ossea e desiderano una soluzione duratura e resistente.
Protesi Mobile Totale

Quando la perdita dentale riguarda l’intera arcata dentaria superiore o inferiore, si parla di protesi totale. Le dentiere sono progettate per ripristinare il completo aspetto estetico e la funzionalità masticatoria.
Vantaggi delle Protesi Dentali
Le protesi dentali offrono numerosi vantaggi, che vanno oltre la semplice estetica. Prima di tutto, migliorano la capacità di masticare e di parlare, riducendo l’inconveniente di dover evitare alcuni cibi o di avere difficoltà nel comunicare. Inoltre, le protesi dentali possono prevenire il deterioramento osseo, un effetto collaterale comune dopo la perdita di denti naturali. Senza la radice del dente, l’osso mascellare può ridursi, con conseguente cambiamento del volto e difficoltà nell’installazione futura di impianti dentali.
A livello psicologico, il ritorno ad un sorriso naturale può aumentare la fiducia in sé stessi, favorendo interazioni sociali più spontanee e senza imbarazzo.
Costo Protesi Dentali
Il costo della protesi dentale varia a seconda dei materiali utilizzati. Quella che ha il costo minore è sicuramente la protesi mobile totale in resina, mentre la più costosa è quella con metalli estetici di ultima generazione come lo zirconio. È sempre bene dopo una accurata visita orale e un esame cone beam farsi redigere un preventivo di spesa che comprenda tutte le varie opzioni disponibili per il paziente.
Cura e Manutenzione delle Protesi
Una corretta igiene orale è essenziale per mantenere la funzionalità delle protesi dentali nel tempo. Le protesi mobili devono essere rimosse regolarmente per essere pulite, mentre quelle fisse richiedono un’accurata pulizia tra i denti e la protesi per evitare accumuli di placca e tartaro. Inoltre, le protesi dentali devono essere controllate periodicamente dal dentista per verificarne l’integrità e la corretta adattabilità. Un controllo periodico permette di intervenire tempestivamente in caso di necessità di aggiustamenti o sostituzioni.
Conclusioni
Le protesi dentali sono una risorsa fondamentale per chi ha perso uno o più denti. Offrono numerosi benefici, sia a livello funzionale che estetico, e grazie ai progressi in campo odontoiatrico, le soluzioni attuali sono sempre più personalizzabili e confortevoli. Sia che si tratti di una protesi fissa, mobile o su impianto, il risultato finale è quello di ripristinare il sorriso e la capacità di vivere senza limitazioni, migliorando la qualità della vita del paziente. Come sempre, la scelta del tipo di protesi deve essere fatta insieme al dentista, che potrà consigliare la soluzione migliore in base alle specifiche necessità e condizioni del paziente.
| © 2010-2026 dente.co - riproduzione vietata |
|
Le informazioni diffuse da dente.co sono destinate ad incoraggiare, e non a sostituire, le relazioni esistenti tra paziente e medico. Questo articolo ha solo scopo illustrativo e non sostituisce il parere di un medico. Per maggiori informazioni sulla pubblicazione e sulle linee guida leggere qui (*) I contenuti di www.dente.co, relativi a dispositivi medici, dispositivi medico – diagnostici in vitro e presidi medico-chirurgici (testi, immagini, foto, filmati, animazioni, disegni, allegati e altro) non hanno carattere di natura di pubblicitaria. Tutti i contenuti devono intendersi e sono di natura esclusivamente informativa, volti esclusivamente a portare a conoscenza i pazienti e i potenziali pazienti delle caratteristiche delle apparecchiature e dei dispositivi medici utilizzati presso lo Studio Dentistico. I contenuti di terze parti sono sempre protetti da Copyright - se non diversamente indicato - e l'utilizzo su www.dente.co è sempre specificato tramite link di attribuzione, l'utilizzo è altresì da ritenersi di carattere accessorio e didattico e completamente a titolo gratuito. |